Malattia di Parkinson
Cosa dice la Medicina Ufficiale?
La Malattia di Parkinson (MD) è una malattia degenerativa cronica del sistema nervoso centrale che colpisce principalmente il sistema motorio. La comparsa dei sintomi è graduale e riguardano la funzione motoria, ma generalmente con l'avanzare del tempo, possono comparire sintomi non motori che poi divengono quelli più invalidanti. Per la maggioranza dei casi la sintomatologia esordisce con un tremore leggero di uno o due arti, poi compare una certa rigidità del movimento e della struttura corporea, i movimenti tendono a rallentare ed il camminare diventa incerto e difficile.
L'alterata mobilità e la relativa invalidità, si accompagnano ad un atteggiamento ansioso-depressivo e/o apatico. Si è notato che nelle fasi avanzati della malattia compare un certo grado di demenza. A questa sequela di sintomi, ci possono essere disturbi del sonno e alterazioni delle sensorialità.
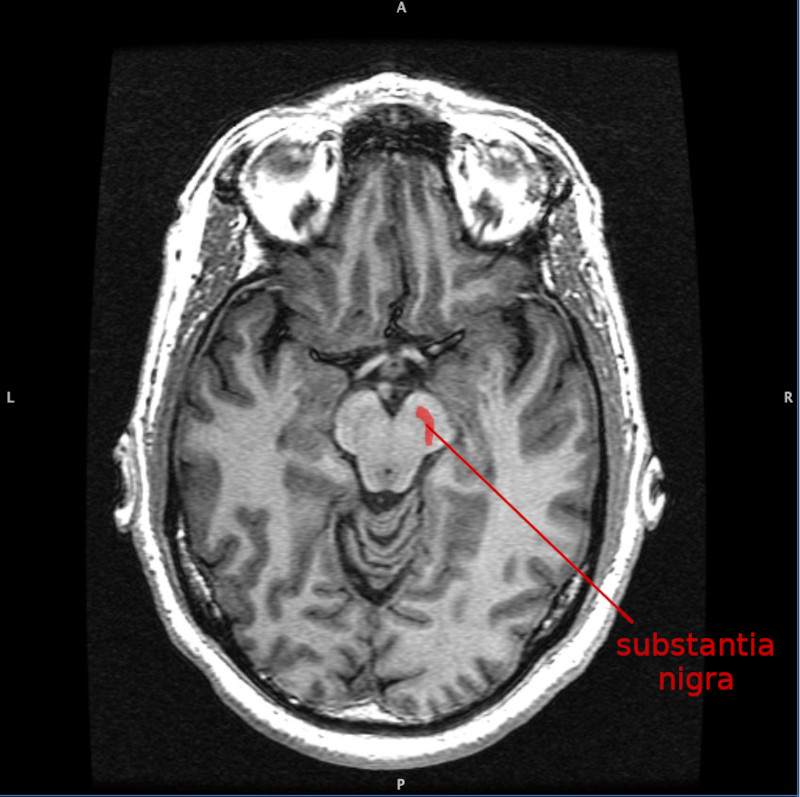
La morte delle cellule della substantia nigra, una regione mesencefalica, sembra essere all'origine del disturbo poiché esse compartecipano alla produzione della dopamina. Le ragioni per le quali le cellule muoiono sono di fatto sconosciute ed entrano in gioco i fattori di rischio, anche i più banali e onnipresenti come sostanze tossiche, traumi cranici e fattori genetici. Si è poi scoperto che chi fuma e beve caffè ha un minor rischio di contrarre la malattia!
Anatomia e fisiologia
La substantia nigra, insieme ad altri quattro nuclei, fa parte dei gangli basali, che si trovano nel mesencefalo, posteriormente ai peduncoli cerebrali. Sono strutture pari, una a destra ed una a sinistra.

- la pars reticulata (SNpr): i neuroni della pars reticulata sono principalmente soggetti all'azione del neurotrasmettitore GABA, che ha una funzione di modulazione della risposta neuronale
- la pars compacta (SNpc): La funzione più importante della pars compacta è il controllo motorio, sebbene il ruolo della substantia nigra nel controllo motorio sia indiretto. La pars compacta invia un input eccitatorio al corpo striato, con conseguente rilascio di GABA. Ciò fa sì che le vie talamocorticali si eccitino e trasmettano i segnali dei motoneuroni alla corteccia cerebrale per consentire l'inizio del movimento. Il ruolo motorio della pars compacta può coinvolgere il controllo motorio fine. È fortemente coinvolta nelle risposte apprese agli stimoli. È importante anche per l'apprendimento spaziale, le osservazioni sul proprio ambiente e la posizione nello spazio.
La pars compacta svolge anche un ruolo nell'elaborazione temporale.

È situato tra i gangli basali della sottocorticale del cervello anteriore. È un componente cruciale per i sistemi motorio e di ricompensa; coordina aspetti cognitivi multipli, compresa la pianificazione motoria e dell'azione, la decisionalità, la motivazione e la precezione della ricompensa.
La substantia nigra gioca un ruolo importante nel funzionamento cerebrale, con riferimento particolare al movimento degli occhi, alla pianificazione motoria, alla ricerca del piacere e della ricompensa, all'apprendimento ed alla dipendenza. Molti degli effetti generati dalla substantia nigra sono mediati dal Corpo striato (→).
Sintomi
I sintomi caratteristici della malattia sono quattro, sebbene se ne aggiungano altri a conferma della diagnosi:- Tremore: che consiste in tremore lento della mano a riposo, ma che scompare durante il movimento volontario e nelle fasi REM del sonno. Generalmente compare in una sola mano, ma con il passare del tempo, in assenza di trattamenti, coinvolge anche l'altra mano. Il movimento tipico è quello di arrotolare le pillole o di contare i soldi, che viene eseguito da indice e pollice.
- Lentezza del movimento: si osserva in ogni caso ed è causata da disturbi nella pianificazione motoria e di inizializzazione del movimento, sebbene l'intero processo motorio appaia alterato. Il movimento coordinato e simultaneo è compromesso. L'invalidità che ne deriva è elevata e ogni funzione di base ne risulta alterata, come il vestirsi, il mangiare, il lavarsi. La persona non riesce a fare due movimenti contemporaneamente e questo genera stizza e frustrazione, il che peggiora ulteriormente la situazione. Paradossalmente la persona riesce ad andare in bicicletta o salire le scale con semplicità.
- Rigidità: La resistenza al movimento degli arti causata da un aumento del tono muscolare, causa una rigidità motoria. Si verifica il fenomeno della "rigidità a ruota dentata". Può essere associata a dolori articolari ed è spesso asimmetrica, colpendo i muscoli del collo e delle spalle prima dei muscoli del viso e delle estremità. L'avanzare del disturbo porta solitamente ad un irrigidimento di tutto il corpo.
- Instabilità posturale: Si manifesta con perdite di equilibrio e cadute ripetute, con o senza fratture ossee

- Problemi di pianificazione delle attività, di flessibilità cognitiva, di pensiero astratto, di acquisizione di regole, di inibizione ad azioni inappropriate, di avvio di azioni appropriate, di memoria lavorativa e controllo dell'attenzione
- Disturbi rispetto alla velocità di elaborazione cognitiva, percezione alterata del tempo
- Problemi di riconoscimento visivo e orientamento spaziale
- Allucinazioni o deliri come il "senso di passaggio" (di qualcosa che la persona avverte passare accanto ad essa) o "senso di presenza" (presenza di qualcuno accanto o dietro la persona)
- Depressione, l'apatia, l'anedonia (ridotta capacità di provare piacere) e l'ansia
- Disturbi del sonno, come sonnolenza diurna (narcolessia), disturbi del sonno REM o insonnia
- Alterazioni del sistema nervoso autonomo come ipotensione ortostatica, pelle grassa e sudorazione eccessiva, incontinenza urinaria e funzione sessuale alterata
- Alterata percezione dell'olfatto, disturbi della vista, dolore e parestesie.
Cosa dicono le 5LB?
Secondo le 5LB e gli insegnamenti del Dr. Hamer il morbo di Parkinson è la rappresentazione di conflitti motori recidivanti per i quali non si arriva mai a guarigione completa.
- Foglietto embrionale: Ectoderma (SBS senza ulcerazioni). Crisi epilettoide di un conflitto di paralisi in riparazione.
- Senso biologico: Smettere di controllare l'azione quando non si ha chiaro come agire.
- Conflitto: Conflitto di trattenimento. Paura di terminare, lasciare o concludere qualcosa. Conflitto di doppia imposizione motoria. Da un lato vorrei farlo, dall'altro non posso (violare, rubare, masturbarsi, firmare qualcosa...). Persone che vogliono controllare tutto, ma non possono o persone che sono state rifiutate. Paura del giudizio, per cui non terminano le cose.
Progettare di agire e poi non metterlo in pratica. "Voglio agire, ma non me lo lasciano fare." "Vorrei agire, ma non so dove". - Bifasicità: Il morbo di Parkinson rappresenta la cronicizzazione della fase di riparazione di questo SBS, detta anche "Soluzione in sospeso"
Questa era la scheda riassuntiva, ma ci sono cose da analizzare con più cura e profondità.
Anzitutto la Malattia di Parkinson è solo una etichetta nosologica, ovvero il frutto di una catalogazione medica che accorpa sotto una unica entità nosografica, tutti i casi che appaiono simili in sintomatologia e caratteristiche clinico-laboratoristico-strumentali. Tuttavia ogni caso è unico e soggettivo e si potrebbe dire - molto grossolanamente - che ogni paziente ha il SUO Parkinson personale.
Secondariamente occorre sempre ricordare che va osservato ed interpretato il malato, non la sua malattia.
Inoltre occorre anche considerare il fatto che la conoscenza delle 5LB e l'analisi dell'attivazione parkinsoniana può aiutare la persona a comprendere i propri vissuti, le possibili origini dell'attivazione e suggerire alcune azioni per evitare le recidive conflittuali che sono alla base del peggioramento della condizione, ma difficilmente possono rimediare alle alterazioni strutturali che si sono verificate.
- Tremore: vedere una mano che si muove involontariamente può generare nella persona la percezione di non avere il controllo di se' stessa, cosa che invece ha esercitato per molti, moltissimi anni. La mano fa ciò che non si vorrebbe facesse, proprio il tema conflittuale che è alla base del disturbo;
- Lentezza del movimento: questa è una possibile conseguenza derivante proprio dalla diagnosi e soprattutto dalla prognosi che, solitamente, parla di inesorabilità e di tempo; più passa il tempo e più peggiora la malattia. Il tentativo biologicamente sensato potrebbe essere quello di rallentare il tempo, andare più piano, tentare di allungare il tempo e ritardare l'avanzamento della malattia. Ma anche in risposta al tema conflittuale, come il tentare di posticipare la fine di una cosa che, una volta finita, potrebbe essere pericolosa o angosciante, come la fine della vita. Anche il tentare di non finire una cosa per timore del giudizio o del castigo. Fare più cose o movimenti non fa altro che accelerare il tempo e la conclusione di una cosa. Camminare a piccoli passi può significare una eccessiva cautela per un probabile vissuto di gravi o pericolose conseguenze del passato relative all'aver fatto il passo più lungo della gamba;
- Rigidità: Resistere a muoversi, trattenere il movimento sembra corroborare il contenuto del percepito di non potere o non riuscire a portare a termine una azione per via delle conseguenze derivanti dal riuscire a farlo. La presenza di dolori agli arti invalidati sembra indicare che il movimento è insopportabile, insostenibile. LE localizzazioni della rigidità possono aggiungere altro valore interpretativo del singolo caso.
L'espressione a maschera, senza espressività, potrebbe indicare la proibizione vissuta nell'espressione delle proprie emozioni, positive e negative, il che corrobora le ragioni dell'alterata e soppressa percezione del piacere. Forse il provare o il cercare il piacere era proibito severamente, verosimilmente per questioni educative, morali e religiose; - Instabilità posturale: Il cadere ha un valore simbolico di non voler/poter più proseguire nel proprio cammino, come se alla persona inconsciamente non rimanesse altro che interrompere bruscamente il suo cammino, che forse sente condurre a qualcosa di terribile (per lei);
- Problemi di pianificazione delle attività (la persona forse non riesce più a capire cosa sia meglio fare e non fare, nda), di flessibilità cognitiva (nella sua mente ci sono poche cose sicure, forse, e tende a rimanere in quelle,nda), di pensiero astratto, di acquisizione di regole (perché forse le regole sono state troppe per quella persona e vissute in modo conflittuale, nda), di inibizione ad azioni inappropriate, di avvio di azioni appropriate, di memoria lavorativa e controllo dell'attenzione;
- Disturbi rispetto alla velocità di elaborazione cognitiva, percezione alterata del tempo;
- Problemi di riconoscimento visivo e orientamento spaziale, forse relativi al percepito di sentirsi rifiutati anche per i sintomi invalidanti della malattia;
- Allucinazioni o deliri come il "senso di passaggio" (di qualcosa che la persona avverte passare accanto ad essa) o "senso di presenza" (presenza di qualcuno accanto o dietro la persona);
- Depressione, l'apatia, l'anedonia (ridotta capacità di provare piacere) e l'ansia. Importante sarebbe comprendere quando questi sintomi si sono affacciati nella vita della persona, forse innescati dalla prognosi medica;
- Alterazioni del sistema nervoso autonomo come ipotensione ortostatica (procedere è diventato inaffrontabile e faticoso ed è meglio rimanere immobili e a riposo, nda), pelle grassa e sudorazione eccessiva, incontinenza urinaria e funzione sessuale alterata;


